整脊疗法治疗脊柱相关疾病
祖国传统医学采用正骨手法针对“骨错缝”的治疗有着悠久的历史,尤其治疗脊柱的“骨错缝”由于疗效甚佳,深得广大人民群众的认可。清代《医宗金鉴·正骨心法要旨》称:“脊梁骨……先受风寒,后被跌打损伤者,瘀聚凝结。若脊筋陇起,骨缝必错,则成伛偻之形。当先揉筋,令其和软;再按其骨,徐徐合缝,背膂始直。”近代以来,本疗法的治疗范围有了长足的发展,不仅对颈椎、腰椎棘突偏歪等伤骨科疾病有较好疗效,而且还可广泛应用于由脊椎各节段病变引起的相关疾病。
整脊疗法,通过脊椎旋转复位等手法的治疗,一方面可复正偏歪棘突、恢复椎体关节正常(或代偿性)的解剖位置,从而松弛周围肌肉群,完全或部分解除组织对神经的压迫,改善动脉血流。另一方面,对于以脊柱小关节僵凝为主的患者施用整脊疗法,还可起到松解粘连,促进气血和畅,达到增加椎体活动范围,缓解疼痛的治疗目的。
大量病例资料表明,颈椎综合征、腰腿痛等脊柱相关疾病患者施治本疗法数次,通常可缓解或显效,有些病例甚至一次对症治疗就有明显疗效。具体操作时,根据脊柱解剖、生物力学的特点,应用一系列特殊的正脊复位、松解手法,并可结合小针刀、点穴以及理疗等手段,对脊柱相关软组织的劳损、紧张僵硬或退化性改变进行调整,以恢复脊柱内的生物力学平衡关系;解除脊柱周围软组织(肌肉、韧带、筋膜、神经、血管等)急慢性损伤的病理改变,来达到调节其外在生物力学平衡和气血、阴阳平衡。还可以此来治疗脊柱错位、脊柱周围软组织以及新继发的脊柱相关疾病的方法,达到“调节平衡脊柱,治疗病因根本”的目的。
典型病例:颈性眩晕1例
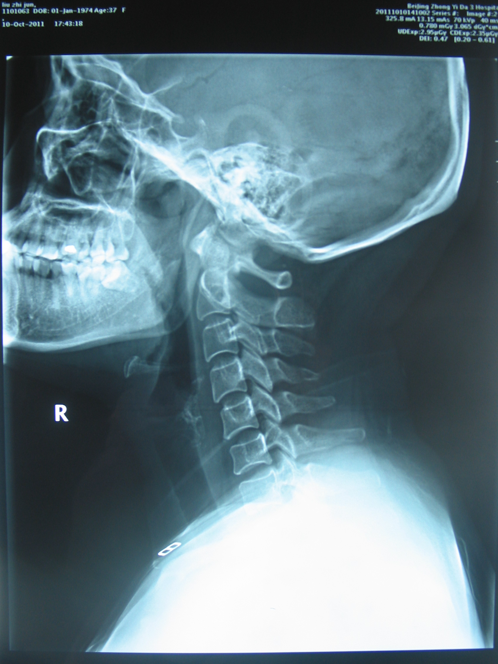
患者,女性,37岁,诉晚间卧床看电视过久,次日清晨头晕、恶心严重,遂至我院急诊就诊。予扩张血管、止吐等药物对症治疗,无明显疗效。查颈椎X线片,请我科门诊会诊。阅片:颈椎曲度异常,可见颈椎小关节紊乱征象(图X线片1,2, 颈椎正侧位治疗前(左侧))。予颈椎不定点旋转手法复位治疗,头晕恶心立即大部分缓解。隔日门诊复查仅残留偶发眩晕症状,复用旋转手法治疗,症状完全消失,复查X线,颈椎小关节紊乱已至正常(图X线片1,2,颈椎正侧位治疗后(右侧)),随访1月未见复发。
图1X线片

图2X线片




